Il existe de nombreux parasites pouvant intégrer notre corps et bien que la plupart soient inoffensifs, d’autres peuvent vous causer de graves maladies et lésions. SooCurious vous présente la liste de 10 organismes vivants nuisibles qui, espérons-le, ne s’approcheront jamais de vous.
1. Leishmania
Ce parasite est transmis par la morsure de certains moustiques, appelés mouches des sables. Ils peuvent causer des plaies très douloureuses d’un aspect assez effrayant. Jusqu’à 200 lésions peuvent se former sur le corps, créant des cicatrices et même des séquelles physiques.
2. Loa loa
Ce ver peut vivre à l’intérieur de votre corps pendant 17 ans, se déplaçant sous la peau et causant des enflures. Les adultes sont visibles car ils se trouvent souvent à la surface de l’oeil. Sans traitement, ce parasite peut entraîner des troubles de la personnalité.
Jusqu’à un million de personnes pourraient abriter ce ver qui mesure jusqu’à 35 cm de long. Ils vivent dans les intestins pendant deux ans et peuvent causer des occlusions, sans montrer d’autres symptômes.
Un ver qui habite dans le corps humain pendant 15 ans et mesure jusqu’à 50 cm de long. Il abîme énormément la peau et cause la “cécité des rivières”, qui rend aveugle. Environ 18 millions de personnes seraient touchées.
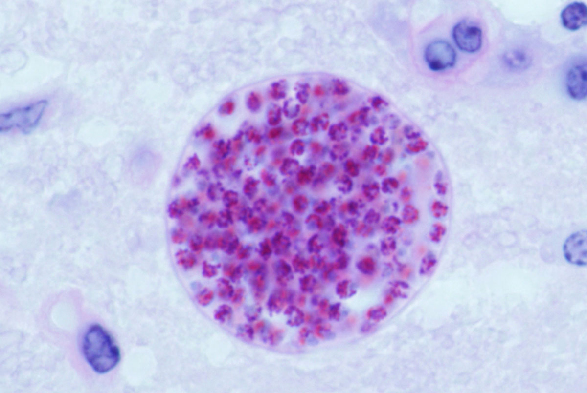
Ce parasite transmis par les déjections de félins, se loge dans le cerveau à l’intérieur des cellules. Il cause des troubles mentaux, tels que la dépression ou la prise de risques inconsidérée. C’est aussi un vecteur de la malaria.
Les victimes de ce parasite ont des troubles du sommeil, une perte d’équilibre et de lucidité. Les symptômes de la “maladie du sommeil” arrivent souvent très tard et sont diagnostiqués une fois qu’il est trop tard, le patient finit par mourir.
L’un des parasites les plus meurtriers, causant plus de 70 000 morts par an. Ces amibes sont la cause de la maladie amoebose, dont les symptômes sont des diarrhées chroniques et d’importantes lésions au foie.
Ce ver vit dans le gros intestin. Il infecterait environ 800 000 personnes dans le monde. Il cause des diarrhées et de l’anémie. Dans les cas extrêmes, il peut faire ressortir le rectum de l’anus.
Plus d’un milliard de personnes risquent l’infection par ce parasite qui cause l’éléphantiasis. Les victimes voient des parties de leur corps enfler démesurément jusqu’à les handicaper.
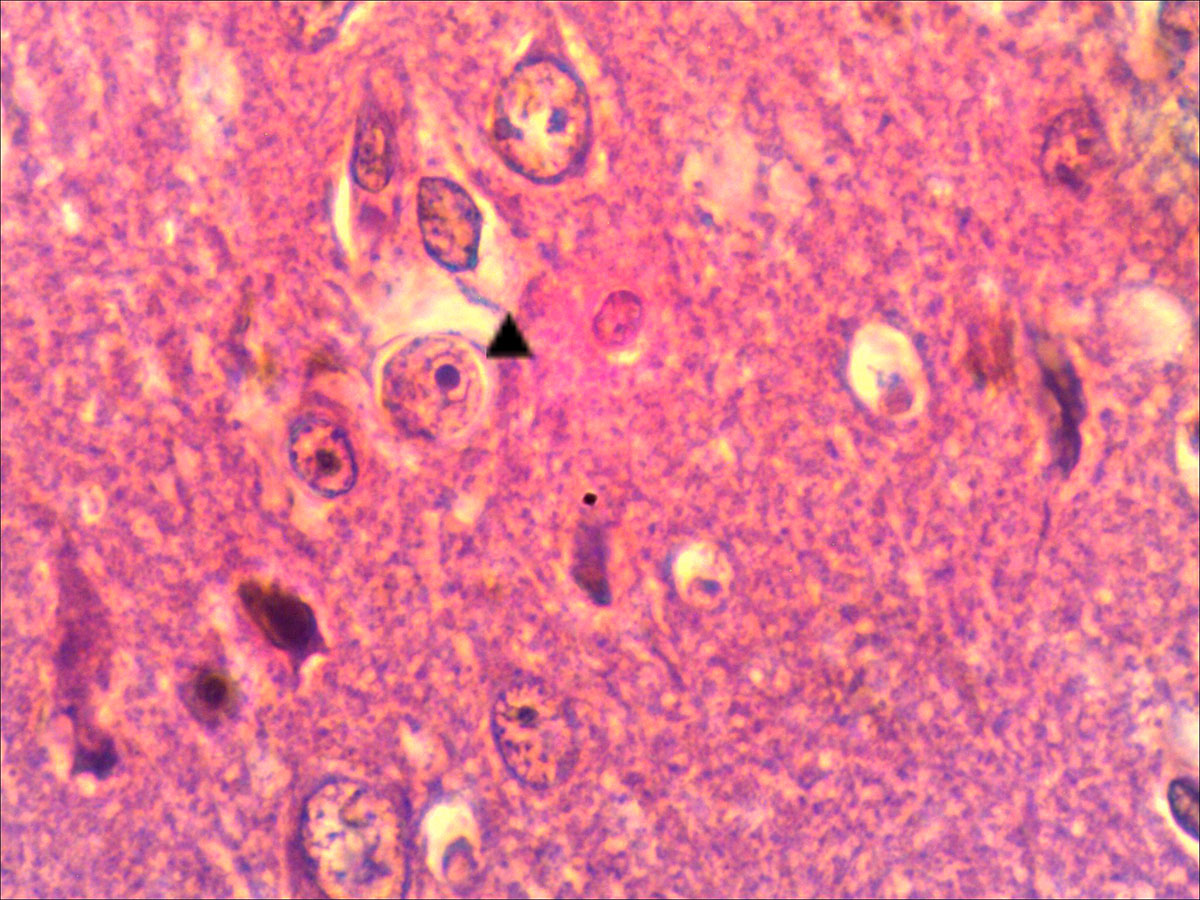
Cette amibe se trouve dans les eaux douces stagnantes. Elle s’attaque au cerveau et au système nerveux, ce qui cause une forme gravissime de méningite, tuant les victimes en quelques semaines. Heureusement, les cas d’infection sont très rares.
Nous avons encore des frissons dans le dos après avoir vu tous ces parasites. A la rédaction, certains n’oseront plus sortir de chez eux pendant une bonne semaine :D. Il est vrai que ces bestioles ont toutes quelque chose d’effrayant, surtout le Loa loa qui se loge dans l’oeil ! Lequel de ces organismes vous a le plus terrifié ?















