
Selon cette étude, avoir un chat comme animal de compagnie lors de son enfance augmenterait les risques d’avoir des troubles mentaux sévères en raison d’un petit parasite qui se trouve dans leurs excréments. Aussi mignons soient-ils, les chats représenteraient donc une véritable menace pour leurs maîtres.
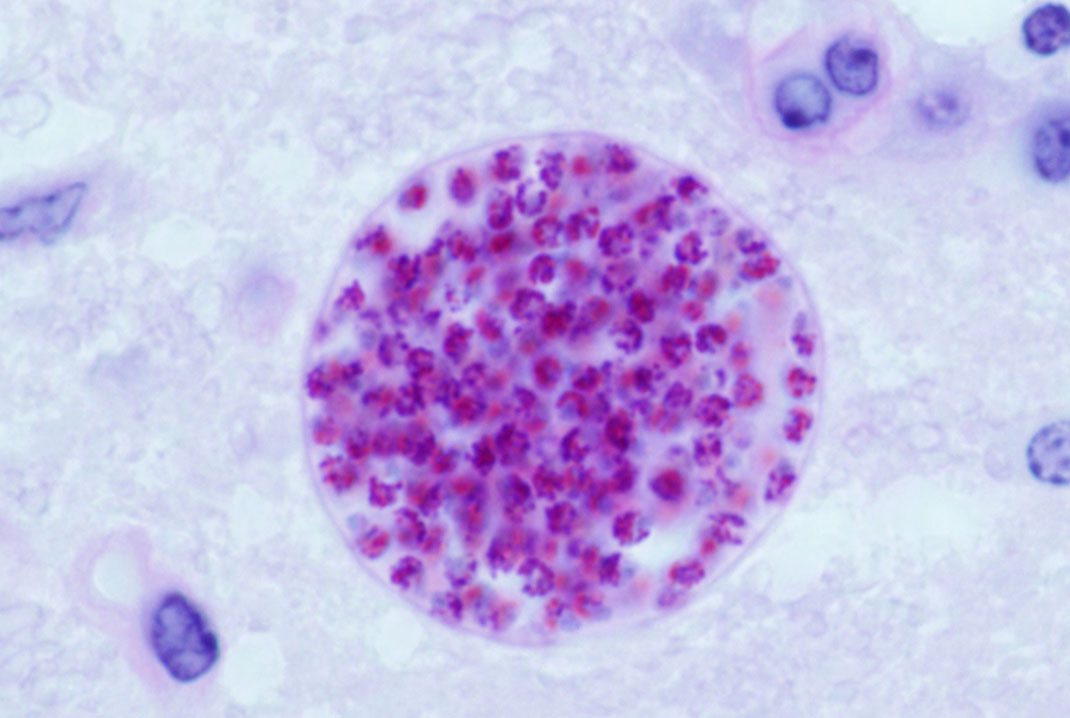
Les chats transportent un parasite transmissible aux humains nommé Toxoplasma Gondii, ce dernier se trouve dans les déjections du félin. Le Dr Robert H. Yolken de l’école de médecine de l’université Johns-Hopkins à Baltimore et E. Fuller Torrey de l’Institut de recherche médicale de Stanley ont enquêté sur un lien possible entre ce parasite et des maladies mentales telles que la schizophrénie et le trouble bipolaire.
Les chats sont les seules hôtes dans lesquels le parasite est capable de se reproduire. Une fois que le parasite produit ses œufs, les chats les expulsent lorsqu’ils défèquent. Ces œufs sont capables de survivre plusieurs mois dans des climats variés, prêts à infecter le premier venu. Bien que le parasite ne puisse pas se reproduire dans un hôte humain, il peut entraîner la toxoplasmose.
En effet, la toxoplasmose est une infection parasitaire particulièrement dangereuse pour les femmes enceintes mais également pour les gens qui ont un système immunitaire faible. C’est pour cette raison qu’il est fortement déconseillé aux femmes enceintes de nettoyer la litière des chats, le parasite pouvant entraîner des fausses couches ou la mort du nourrisson à la naissance.
On retrouve notamment le parasite dans la viande pas assez cuite ainsi que dans les fruits et légumes non lavés. Il présente également des effets négatifs sur les adultes en bonne santé. Selon CBS (Centers for Disease Control and Prevention) plus de 60 millions de personnes pourraient être infectées rien qu’aux États-Unis. Les chercheurs ont toutefois tenu à relativiser le danger : dans 80% à 90% des cas, la toxoplasmose n’entraîne aucun symptôme, et le porteur en ne s’en aperçoit même pas. Il est toutefois fortement conseillé de porter des gants lorsqu’on change la litière d’un chat.
Une étude, publiée dans “Schizophrenia Research”, s’est intéressée au possible lien entre les personnes qui possédaient un chat pendant leur enfance et ceux qui ont développé une schizophrénie plus tard dans leur vie. “Trois études différentes ont démontré qu’il est beaucoup plus commun qu’un enfant reçoive plus tard un diagnostic d’une schizophrénie ou d’un autre trouble mental sévère s’il passe son enfance avec un chat”, expliquent les scientifiques.
En effet, certains des anticorps qui servent à détruire les parasites de Toxoplasma Gondii prennent directement la direction du cerveau. Le parasite entraînerait ainsi un excès de dopamine dans le cerveau, ce qui perturberait fortement la transmission des signaux entre les cellules et provoquerait des troubles particuliers. Les troubles anxieux généralisés se présenteraient sous forme d’un état d’anxiété constant, accompagné d’une accélération du rythme cardiaque, d’une certaine agitation et d’un souffle plus rapide.
Pour comprendre le lien entre le facteur d’anxiété et le parasite, les scientifiques ont étudié des échantillons sanguins de près de 450 adultes. Ils se sont rendus compte que les échantillons qui contenaient une forte dose d’anticorps au parasite correspondaient aux sujets exposé à des troubles d’anxiété. Ils sont parvenus également à démontrer que les cobayes présentant le plus haut niveau d’anticorps étaient en moyenne trois fois plus sujets aux troubles anxieux généralisés.
Une autre étude récente, publiée dans la revue “Acta Psychiatrica Scandinavica” est parvenue à une autre conclusion étonnante : une personne infectée par ce parasite est presque deux fois plus susceptible de développer une schizophrénie. Le Toxoplasma Gondii affecte également les autres animaux, il a été démontré que le parasite modifie le comportement des souris et les poussent à devenir suicidaire. Les souris possèdent un odorat très développé, ainsi, chaque fois qu’elles sentent l’urine d’un chat, elles ont tendance à moins se méfier de la menace qui se trouve à proximité.
Découvrez notre émission “Qui l’êut cru?” consacrée aux chats :
Ces révélations sur ce parasite nous ont fait froid dans le dos à la rédaction. Malgré tout nous restons toujours des grands fans de ces petites boules de poils adorables. Si vous aimez autant que nous les félins vous allez adorer découvrir ces 17 faits insolites sur les chats.








